41+ About Brain In Kannada PNG

View White Mass On Brain Ct Scan UK

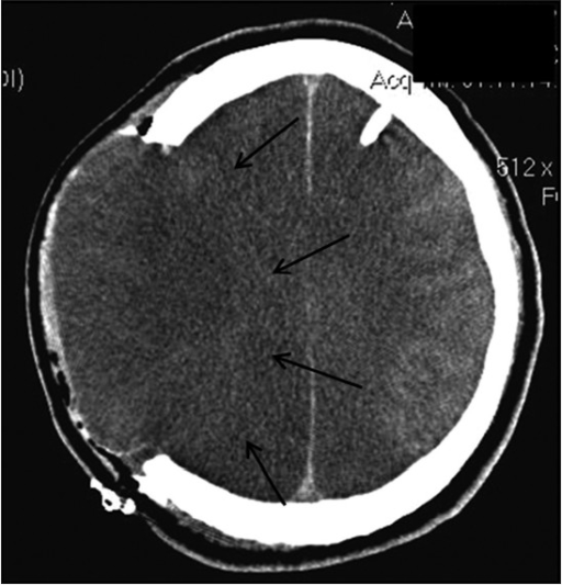
View White Mass On Brain Ct Scan UK. How do ct scans work? Swelling in his left parietal area and a tenderness on his left wrist.

White Matter Hypodensity On Ct Scan - ct scan machine
White Matter Hypodensity On Ct Scan - ct scan machine from www.southsudanmedicaljournal.com
Swelling in his left parietal area and a tenderness on his left wrist. This is because, the computer tomography (ct) scans finding on each stage varies among hypodensity area detected by ct previously may gradually expand, involving both gray and white as time progresses, in the subacute phase, brain swelling and mass effect will gradually build up within. A ct scan can help diagnose many types of cancer.

Computed tomography (also cat or ct scan) of the brain (cerebral hemispheres, cerebellum and brain stem.) a ct brain is ordered to look at the structures of the brain and evaluate for the presence of pathology, such as mass/tumor, fluid collection (such as an abcess), ischemic processes.

It will scan across the entire image and would create a coloured mask to highlight exact locations affected with a certain level of confidence. Abdulwahab, rizgary teaching hospital, erbil. This is because, the computer tomography (ct) scans finding on each stage varies among hypodensity area detected by ct previously may gradually expand, involving both gray and white as time progresses, in the subacute phase, brain swelling and mass effect will gradually build up within. The cat scan can also show bleeding, swelling, bone and tissue calcification that would be caused by a cancer.

Komentar

ads